- How Blue Light Impacts Your Sleep Quality
- Comparing Whey and Plant-Based Protein: Which is Best?
- How Long Does Nicotine Remain in Your System?
- The Best Time of Day to Drink Bone Broth to Maximize Health Benefits
- 8 Ways to Increase Dopamine Naturally
- 7 Best Breads for Maintaining Stable Blood Sugar
- Gelatin vs. Collagen: Which is Best for Skin, Nails, and Joints?
- The Long-Term Effects of Daily Turmeric Supplements on Liver Health
- Could Your Grocery Store Meat Be Causing Recurring UTIs?
- Are You Making This Expensive Thermostat Error This Winter?
Arizona Resident Dies From Pneumonic Plague
An Arizona resident has died from pneumonic plague, a rare but serious illness, health officials confirmed.
The death happened in Coconino County in Northern Arizona, which includes Flagstaff. Officials gave no information about the person who died, The Associated Press reported.
This is the first known U.S. death from pneumonic plague since 2007, according to local and federal health officials. If caught early, pneumonia plague can usually be treated successfully with antibiotics.
Plague is a bacterial infection that spreads mainly in the western United States.
On average, about seven human cases are reported each year nationwide, the U.S. Centers for Disease Control and Prevention (CDC) says.
Plague is caused by a bacterium called Yersinia pestis. It claimed millions of lives in 14th century Europe.
The most common form is bubonic plague, which is commonly spread among rodents like prairie dogs and rats, according to AP.
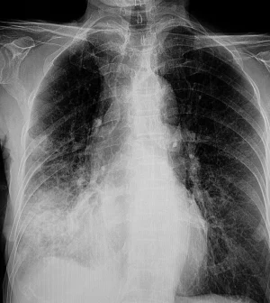
But there are two other types: Septicemic plague, which spreads throughout the body, and pneumonic plague, which infects the lungs.
Pneumonic plague, which caused the Arizona death, is also the easiest to spread, AP said.
It is often transmitted by fleas that have bitten infected rodents. The fleas can also infect pets or humans.
People can also get plague from touching blood or body fluids from infected animals. That’s why health experts warn against handling sick or dead animals.
Most U.S. cases happen in rural areas of northern Arizona, northern New Mexico, southern Colorado, California, southern Oregon and far western Nevada, AP said.
More information
The Cleveland Clinic has more on plague.
SOURCE: The Associated Press, July 11, 2025
Source: HealthDay
Copyright © 2026 HealthDay. All rights reserved.










